Telegram
Instagram
Стоматологія · Рівне

Стоматологія у Рівному. Лікування зубів без болю та стресу

Сучасна стоматологія в Рівному, де поєднуються точність, естетика та комфорт. Допомагаємо відновити здоров’я і впевненість у своїй посмішці вже після першого візиту.

Зателефонуйте або заповніть форму для запису
0+
пн–пт
0к+
пацієнтів
0%
задоволених пацієнтів
🛡
Гарантія на лікування1 рік на лікування
🦷
Протезування1 рік на незнімні конструкції
📋
Знімні конструкції6 місяців гарантії
Посмішка

Телефон для запису

+380 (98) 108 00 62

Що найчастіше турбує
пацієнтів

01
🦷
Біль або чутливість

Коли зуб турбує, чекати не варто — проблема зазвичай стає складнішою і дорожчою.

02
😶
Зруйнований чи відсутній зуб

Незручно жувати, посміхатись або говорити. Такі ситуації потребують чіткого плану відновлення.

03
👶
Потрібно лікування для дитини

Важливо знайти спеціаліста, який спокійно пояснить усе і проведе лікування без зайвого стресу.

🔥
Не відкладайте консультацію, якщо зуб уже турбує Чим раніше звернутись, тим простіше і дешевше вирішити проблему.
Записатись
Фото клініки

Як ми
вирішуємо
ці проблеми

📍
Чітка діагностика

Огляд і рентген допомагають зрозуміти реальний стан зубів і не лікувати навмання.

💳
Зручна оплата

Можливе розтермінування через банк та оплата частинами.

🤝
Спокійний підхід

Лікар пояснює кожен етап і підбирає рішення під вашу ситуацію та бюджет.

01
Анестезія та комфорт

Перед лікуванням узгоджують обсяг роботи, пояснюють етапи та проводять знеболення.

02
Рішення під ваш випадок

Від пломбування і реставрації до протезування, імплантації чи брекет-системи.

03
Контроль результату

Після лікування ви отримуєте зрозумілі рекомендації та гарантію згідно з видом роботи.

Кейси наших
пацієнтів

Кожна посмішка — унікальна. Ось лише частина трансформацій. Натисніть на кейс, щоб побачити деталі.

3 / 5 кейсів
Кейс 1
Протезування фронтальної зони
Відновлення зруйнованого переднього зуба та естетики усмішки
ПослугаПротезування
ПроблемаСильно зруйнований і потемнілий передній зуб, асиметрія усмішки та виражений естетичний дискомфорт.
ЗробилиПровели ортопедичне відновлення фронтальної зони з підбором форми та кольору під природну усмішку.
РезультатРівна, світла та охайна усмішка без візуального акценту на проблемному зубі.
Кейс 2
Імплантація та повне протезування
Повернення повного зубного ряду при значній втраті зубів
ПослугаІмплантація / протезування
ПроблемаВідсутність кількох зубів, сильне руйнування решти та неможливість нормально жувати.
ЗробилиВиконали імплантацію та ортопедичну реабілітацію з повним відновленням верхньої усмішки.
РезультатСтабільна функція жування, природний вигляд зубів і повноцінна усмішка.
Кейс 3
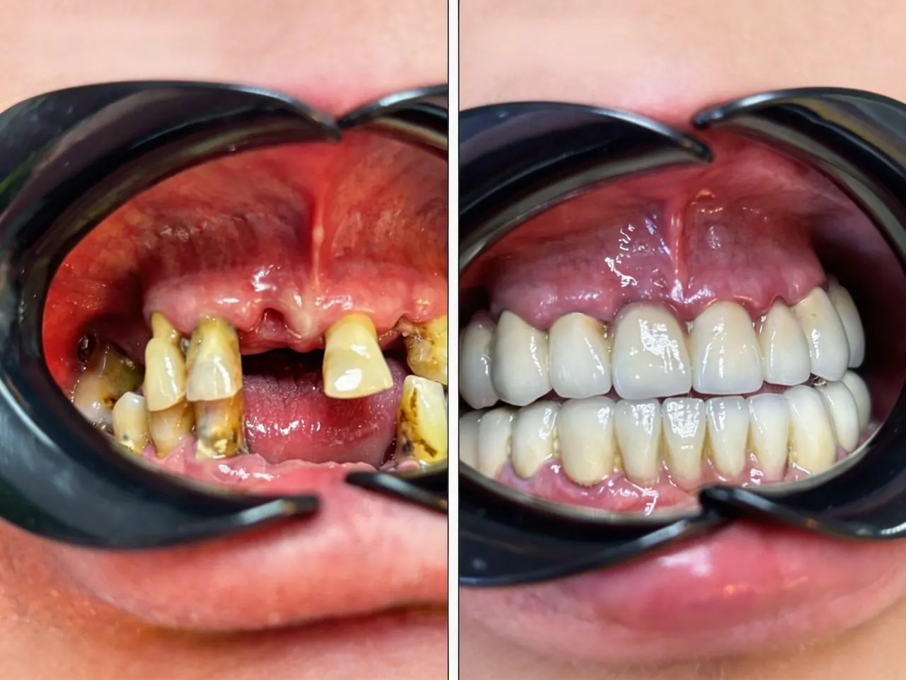
Тотальне протезування
Повна реабілітація зубного ряду після значного руйнування
ПослугаПротезування
ПроблемаВиражене руйнування зубів, відсутність частини зубного ряду та порушена естетика усмішки.
ЗробилиПровели комплексне протезування з повним відновленням форми, висоти та кольору зубів.
РезультатОхайний повний зубний ряд, комфортне жування та значно кращий вигляд усмішки.
Кейс 4
Імплантація верхньої щелепи
Фіксоване відновлення усмішки замість втрати зубів
ПослугаІмплантація / протезування
ПроблемаВідсутність верхніх зубів та потреба у надійному рішенні для щоденного комфорту.
ЗробилиВстановили імплантаційну опору та виготовили незнімну ортопедичну конструкцію.
РезультатСтійка, естетична усмішка та впевненість у розмові й під час їжі.
Кейс 5
Естетична реставрація фронтальних зубів
Світліші, рівніші та гармонійніші передні зуби
ПослугаЕстетика усмішки
ПроблемаНерівний контур, проміжки та неестетичний вигляд фронтальної групи зубів.
ЗробилиПровели естетичне відновлення фронтальної ділянки з корекцією форми й кольору.
РезультатУсмішка стала світлішою, рівнішою та візуально більш доглянутою.
Ваш результат може виглядати так само Понад 2 000 пацієнтів вже змінили своє життя — тепер ваша черга
Хочу такий результат
Послуги та ціни

Основні напрямки
лікування в клініці

01 / Діагностика та терапія
🩺
Діагностика та лікування

Починаємо з точного огляду, рентгену та лікування причин болю чи дискомфорту.

✓ Для дорослих і дітей
Швидко закриває базові стоматологічні запити
Професійна чистка — 1500 грн
Реставрація зубів — від 900 грн
Пломбування кореневої системи — від 800 грн
Анестезія — 300 грн
Рентген — 100 грн
Пломбування молочного зуба — 700 грн
02 / Хірургія та імплантація
🦷
Хірургія та імплантація

Коли зуб потрібно видалити або відновити — підбираємо варіант під клінічну ситуацію.

✓ Чіткий план перед початком
Відновлення функції та комфорту
Видалення зуба — від 600 грн
Накладання швів — 200 грн
Встановлення імпланта — від 350$
Імплантація — від 500$
під ключ
Відкрити сторінку імплантів
03 / Протезування та ортодонтія
😁
Протезування та вирівнювання

Для відновлення естетики, жування та правильного прикусу — від коронок до брекетів.

✓ Рішення під бюджет і задачу
Естетика та функція в одному плані
Протезування МК — 2900 грн
Циркон / прескераміка — 6000 грн
Знімний протез — від 6500 грн
Брекет-система — від 24000 грн
за 1 щелепу
Потрібно записатись або уточнити ціну? Подзвоніть у клініку — підкажуть по послугах, вартості та вільному часу.
Пн–пт 10:00–20:00 · Сб 10:00–15:00
Записатись
Команда та сервіс

Як ми
вирішуємо
ці проблеми

Комфортне лікування
Комфортне лікування
Діагностика та терапія
Уважний підхід до пацієнта · Сучасні рішення для лікування
Відновлення зубів
Відновлення зубів
Протезування та ортопедія
План відновлення під ситуацію · Різні варіанти протезування
Турбота про сімʼю
Турбота про сімʼю
Хірургія та дитяча стоматологія
Спокійний прийом для дорослих і дітей · Турбота на кожному етапі
🏅 1 рік гарантії на лікування
🏅 1 рік на незнімні конструкції
🏅 6 місяців на знімні конструкції
🏅 Оплата частинами

Реальні відгуки
пацієнтів клініки

★★★★★
Юрій Бурко

«Рекомендую звертатися в данну клініку. Працюють приємні люди, гарно спілкуються, роблять якісно свою роботу.»

★★★★★
flow

«Працюють професіонали, зробили рентген, пролікували, все на висоті.»

★★★★★
Галина Ференчук

«Відвідала «Студію Посмішок» і залишилась у захваті! Лікарка уважна, спокійна, чітко пояснює кожен крок. Атмосфера як у спа: чистота, затишок, сучасне обладнання.»

★★★★★
Игорь ВК

«Атмосфера клініки сподобалась. Все чисто і стерильно. Лікар Алла Олександрівна зробила швидко і безболісно.»

★★★★★
Olena Lukashuk

«Відношення прекрасне, працюють професіонали. Дякую за вашу роботу.»

★★★★★
Іванна Іванішина

«Лікуванням дуже задоволена. Вилікували зуб після кількох невдалих спроб в інших клініках. Лояльні ціни, приємні спеціалісті.»

★★★★★
Богдана Петухова

«Чудова стоматологія, приємні спеціалісті. Ходжу я і вся моя сім’я.»

★★★★★
Letmen Fly

«Робота спеціаліста Гавронського Михайла — швидко, якісно, безболісно.»

★★★★★
Альона Солованюк

«Чудова клініка, привітний персонал. Лікар Алла Олександрівна працює якісно.»

★★★★★
Галина Суха

«Дуже вдячна за гарне відношення і роботу спеціалістів.»

★★★★★
Fox Club

«Задоволена обслуговуванням і якістю роботи.»

★★★★★
Серёга Деwятка

«Дякую за чудову роботу.»

★★★★★
Анджей Поповічук

«Чудові спеціалісті і сервіс.»

★★★★★
оксана сумко

«Дуже класна клініка. Лікую тут дітей і сама.»

★★★★★
Мої вітання!

«Дуже професійно і якісно. Хороший персонал.»

★★★★★
Krystyna Kash

«Прийняли без запису з гострим болем, допомогли. Діти ходять тільки сюди.»

★★★★★
Оксана Кирильчук

«Дуже подобається лікувати зуби у Михайла Гавронського.»

★★★★★
Михайло Новак

«Швидко, якісно, акуратно та безболісно.»

★★★★★
Софія Приходько

«Дуже сподобалось, круті спеціалісті.»

★★★★★
Анна Приходько

«Лікувала, все дуже сподобалось.»

★★★★★
Anzhelika Savruk

«Хороший дитячий спеціаліст.»

★★★★★
Юрій Бурко

«Рекомендую звертатися в данну клініку. Працюють приємні люди, гарно спілкуються, роблять якісно свою роботу.»

★★★★★
flow

«Працюють професіонали, зробили рентген, пролікували, все на висоті.»

★★★★★
Галина Ференчук

«Відвідала «Студію Посмішок» і залишилась у захваті! Лікарка уважна, спокійна, чітко пояснює кожен крок. Атмосфера як у спа: чистота, затишок, сучасне обладнання.»

★★★★★
Игорь ВК

«Атмосфера клініки сподобалась. Все чисто і стерильно. Лікар Алла Олександрівна зробила швидко і безболісно.»

★★★★★
Olena Lukashuk

«Відношення прекрасне, працюють професіонали. Дякую за вашу роботу.»

★★★★★
Іванна Іванішина

«Лікуванням дуже задоволена. Вилікували зуб після кількох невдалих спроб в інших клініках. Лояльні ціни, приємні спеціалісті.»

★★★★★
Богдана Петухова

«Чудова стоматологія, приємні спеціалісті. Ходжу я і вся моя сім’я.»

★★★★★
Letmen Fly

«Робота спеціаліста Гавронського Михайла — швидко, якісно, безболісно.»

★★★★★
Альона Солованюк

«Чудова клініка, привітний персонал. Лікар Алла Олександрівна працює якісно.»

★★★★★
Галина Суха

«Дуже вдячна за гарне відношення і роботу спеціалістів.»

★★★★★
Fox Club

«Задоволена обслуговуванням і якістю роботи.»

★★★★★
Серёга Деwятка

«Дякую за чудову роботу.»

★★★★★
Анджей Поповічук

«Чудові спеціалісті і сервіс.»

★★★★★
оксана сумко

«Дуже класна клініка. Лікую тут дітей і сама.»

★★★★★
Мої вітання!

«Дуже професійно і якісно. Хороший персонал.»

★★★★★
Krystyna Kash

«Прийняли без запису з гострим болем, допомогли. Діти ходять тільки сюди.»

★★★★★
Оксана Кирильчук

«Дуже подобається лікувати зуби у Михайла Гавронського.»

★★★★★
Михайло Новак

«Швидко, якісно, акуратно та безболісно.»

★★★★★
Софія Приходько

«Дуже сподобалось, круті спеціалісті.»

★★★★★
Анна Приходько

«Лікувала, все дуже сподобалось.»

★★★★★
Anzhelika Savruk

«Хороший дитячий спеціаліст.»

Питання

Коротко про те,
що важливо знати

Основне про запис, гарантії, оплату та базові послуги клініки.

Перед лікуванням проводиться анестезія, а спеціаліст пояснює кожен етап, щоб вам було спокійно.

1 рік на лікування, 1 рік на протезування незнімними конструкціями та 6 місяців на знімні конструкції.

Так, можливе розтермінування через банк та оплата частинами.

Понеділок–п’ятниця: 10:00–20:00. Субота: 10:00–15:00, але не кожна — краще уточнювати телефоном.

Найшвидше — зателефонувати за номером +380 (98) 108 00 62.

Так, рентген доступний у клініці. Вартість — 100 грн.

Так, у клініці є дитяча стоматологія, зокрема пломбування молочного зуба від 700 грн.

Оплата частинами
та через банк

У клініці можна скористатися розтермінуванням через банк або оплатою частинами. Деталі залежать від суми та умов банку.

від зручно для поетапного лікування
Актуальні умови краще уточнювати перед записом
Розтермінування
через банк
Оплата готівкою
Оплата карткою
01
Розтермінування через банк

Зручно, якщо лікування або протезування потрібно почати без повної оплати одразу.

02
Оплата частинами

Підходить для поетапного лікування та розподілу суми на кілька платежів.

03
Зрозумілі умови

Перед стартом лікування вам пояснюють вартість і можливі варіанти оплати.

04
Уточнення телефоном

Щоб отримати актуальні умови, найкраще подзвонити в клініку перед візитом.

Є питання щодо оплати? —
Підкажемо умови по телефону або під час запису.
Записатись
Запис

Запишіться по телефону

Перейдіть до форми, оберіть послугу та залиште контакт — це найзручніший спосіб запису.

01
Дзвінок
Телефон клініки
02
Послуга
Що вас цікавить
03
Час
Підберемо слот
04
Підтвердження
Фіксуємо запис
🔒Ваш запит уточнять
📞Підкажуть вільний час
Запис без зайвих форм
Що вас
цікавить?

Оберіть напрям — послуга та спеціаліст будуть зафіксовані у заявці.

Оберіть
спеціаліста

Оберіть потрібний напрям спеціаліста. Якщо не знаєте — оберіть «Будь-який спеціаліст».

Оберіть
дату і час

Зелені дні — доступні. Перекреслені слоти — зайняті.

Ваші
контакти

Ми зателефонуємо для підтвердження протягом 15 хвилин.

Запис
підтверджено!

Дякуємо. Ваш запис збережено — деталі вказані нижче.
Зателефонуємо вам найближчим часом

Онлайн-запис
🗓 Онлайн-запис на зручний час

Запишіться онлайн —
і отримайте
підтвердження запису

Оберіть послугу, спеціаліста, день і час — після цього з’явиться підтвердження запису.
Понеділок–п’ятниця: 10:00–20:00 · Субота: 10:00–15:00

Суботу краще уточнювати заздалегідь
Записатись

🛡 Пояснюють по суті · Підкажуть вільний час · Можлива оплата частинами

+380
номер для запису
10:00–20:00
Studiya Posmishok Clinic
1 рік
гарантія залежно від послуги
Контакти

Як нас знайти

Studiya Posmishok Clinic — Князя Романа 15, Рівне. Для запису достатньо одного дзвінка.

Адреса
Князя Романа 15
Рівне
Графік роботи
Понеділок — П’ятниця 10:00 — 20:00
Субота 10:00 — 15:00*
Уточнення * не кожна субота
Зручності
📍
Адреса в Рівному Князя Романа 15
📞
Швидкий запис Найзручніше записуватись телефоном
💳
Оплата частинами Можливе розтермінування через банк
🕒
Актуальний час Суботу краще уточнювати перед візитом
Контакти клінікиТелефон для запису та уточнень
Записатись